24h/24 - 7j/7
24h/24 - 7j/7
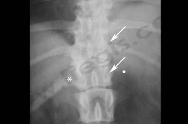
Une hémivertèbre est une malformation congénitale vertébrale, plus souvent au niveau des vertèbres thoraciques que cervicales ou lombosacrées causant des angulations anormales de la colonne vertébrale (scoliose ou cyphose). Dans la majorité des cas, ces malformations vertébrales sont des découvertes fortuites.
L’origine de ces malformations pourrait être due à une absence de vascularisation vertébrale ou une affection de la croissance du cartilage au stade fœtal ou encore une anomalie génétique.
Il existe plusieurs formes d’hémivertèbres : vertèbres papillons (les plus fréquentes), hémivertèbres dorsales, hémivertèbres latérales, hémivertèbres dorso-latérales, hémivertèbre en « coin » ventral, hémivertèbre en « coin » latéral et vertèbre courte (avec forme normale).
Ces malformations vertébrales peuvent atteindre une ou plusieurs vertèbres (pour plus de la moitié des chiens atteints).
Ces malformations peuvent causer des instabilités vertébrales, prédisposer aux hernies discales ou favoriser des adhérences leptoméningées pouvant évoluer en diverticule arachnoïdien (anciennement kyste sous arachnoïdien).
Les races de chiens brachycéphales (à nez écrasé) et surtout celle à queue en tire-bouchon sont prédisposées, telles que : Boston terrier, Bouledogue Français, Bulldog anglais et Carlin …
Cependant, d’autres races, notamment de petite taille, peuvent également être atteintes telles que : Yorkshire Terrier, Shih Tzu …
Les signes cliniques, quand ils sont présents, sont généralement d’évolution lente et progressive.
Ils peuvent se manifester avant l’âge d’un an et sont secondaires à une sténose progressive du canal vertébral ou à des instabilités vertébrales compressives.
Les signes cliniques sont ceux d’une myélopathie compressive avec ataxie (incoordination motrice, démarche ébrieuse) et/ou de la parésie (faiblesse locomotrice) parfois non ambulatoire. Dans les cas les plus sévères une paraplégie peut être observée. De l’incontinence urinaire et fécale sont également possibles.
Chez le chien, le diagnostic d’hémivertèbre se fait grâce à un examen radiographique sous plusieurs incidences (face et profil).
Lorsque le chien présente des signes nerveux associés à ces malformations vertébrales, des examens d’imagerie plus poussés sont nécessaires afin d’évaluer le degré de compression. Les plus couramment prescrits sont une myélographie, un scanner, une myélo-tomodensitométrie ou une IRM.
En l’absence de signe clinique, aucun traitement n’est nécessaire.
Lors d’atteinte modérée, un traitement médical à base d’anti-inflammatoire et antidouleur peut être envisagé, si nécessaire.
Dans les cas plus sévères avec des signes nerveux handicapants, un traitement chirurgical peut être souhaitable avec stabilisation vertébrale plus ou moins décompression médullaire dorsale (laminectomie).
Les hémivertèbres sont des malformations fréquentes avec un bon pronostic à long terme tant que le chien ne présente pas de signes nerveux. De nombreux chiens ne présenterons jamais de signes associés à ces malformations.
En cas de faible compression, avec peu de déficit nerveux, le pronostic avec traitement médical est relativement bon mais avec des risques de récidive ou de nécessité de traitement à long terme non négligeables.
En cas de chirurgie stabilisatrice et/ou décompressive, le pronostic est généralement bon au long terme avec cependant de faibles risques de récidive.
Gutierrez-Quintana R. et al., A proposed radiographic classification scheme for congenital thoracic vertebral malformations in brachycephalic « screw-tailes » dog breeds, Veterinary Radiology and Ultrasound, 2014
Westworth D.R. and Sturges B.K., Congenital Spinal Malformations in Small Animals, Veterinary Clinic of North America : Small Animal Practice, 2010
Charalambous M. et al., Surgical treatment of dorsal hemivertebrae associated with kyphosis by spinal segmental stabilization, with or without decompression, Veterinary Journal, 2014