24h/24 - 7j/7
24h/24 - 7j/7
Le syndrome d’automutilation podale chez le chien, également connu sous le nom d’acropathie ulcéromutilante héréditaire du chien, est une affection héréditaire du système nerveux périphérique très rare. Des affections proches sont également décrites chez l’homme (neuropathies héréditaires sensitives et autonomes, ou HSAN) et la plupart sont considérées comme des « maladies orphelines ».
Cette affection se caractérise par une perte de la sensibilité douloureuse au niveau des extrémités. Elle serait due à un défaut de développement et une dégénérescence post-natale de certains neurones sensitifs.
Une transmission héréditaire de type autosomal et récessif est évoquée.
Les signes cliniques apparaissent précocement, souvent sur plusieurs chiens de même portée, âgés de quelques semaines à quelques mois.
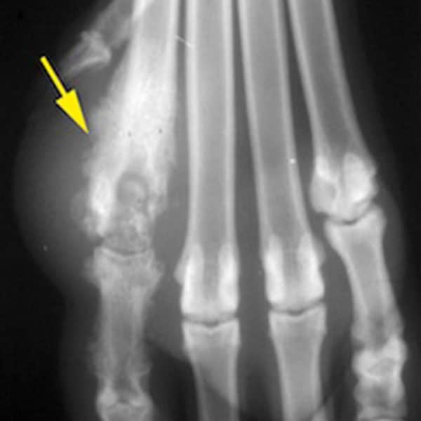
Une dermatite nécrosante apparaît soudainement sur un ou plusieurs membres, parfois sur la queue. Un léchage répété des lésions peut aller jusqu’à une automutilation. La sensation de douleur des extrémités est anormalement réduite. Un prurit, une parésie et une diminution des réflexes des membres sont présents. Des fractures sont possibles mais malgré les importantes lésions des membres, les chiens ne présentent pas de boiterie.
Les signes cliniques ont tendance à diminuer avec l’âge mais l’évolution de la maladie conduit généralement au développement d’une ostéomyélite secondaire et à la mort, ou à l’euthanasie précoce des chiens atteints.
En dehors de soins locaux, il n’existe à ce jour aucun traitement spécifique.
Les radiographies des membres peuvent montrer des déformations des os et parfois des fractures, souvent passées inaperçues.
L’électromyographie (EMG) n’est pas modifiée (du fait d’une atteinte afférente, non efférente motrice).
Certaines races sont considérées comme prédisposées au syndrome d’automutilation podale : Braque allemand, English cocker spaniel, English springer spaniel, Epagneul français, Pinscher nain, Pointer anglais
Fuster C. – Acropathie ulcéromutilante héréditaire du chien : un cas dans la race Epagneul français – Thèse Méd Vét, 2010, 158 p.