24h/24 - 7j/7
24h/24 - 7j/7
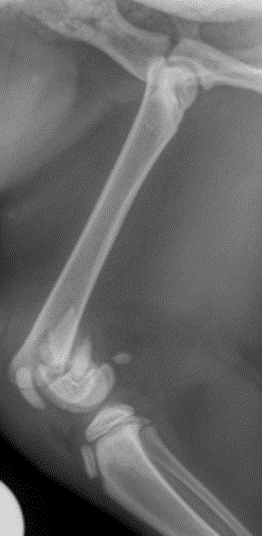
On trouve les cartilages de croissance chez les chats de moins d’un an, aux extrémités des os des pattes. Les cartilages de croissance permettent la croissance des os. Les cartilages de croissance sont plus fragiles que l’os proprement dit, et de ce fait plus souvent sujets aux traumatismes.
Les cartilages de croissance se ferment ou fusionnent à l’âge adulte. La majorité de la croissance de la plupart des chats se réalise entre 4 et 8 mois. Plus l’animal est de petit format plus sa croissance s’arrêtera tôt. Après 8 mois, la croissance se poursuit mais plus faiblement. A un an, les cartilages de croissance sont fermés et ne sont généralement plus visibles radiographiquement.
La croissance en longueur des os se réalise principalement avant le 8ème mois. Ainsi les fractures impliquant le cartilage de croissance après cet âge sont moins graves.
Le cartilage de croissance est une zone fragile de l’os donc plus susceptible d’être endommagée.
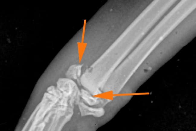
La classification de Salter-Harris des fractures du cartilage de croissance, décrite en médecine humaine donne une indication pronostique : une fracture Salter-Harris de type 1 aura un meilleur pronostic que le type 5. Toutefois, l’âge de l’animal au moment de la fracture et l’implication de l’articulation dans la fracture sont également très importants.
Dans la plupart des cas, après la fracture le cartilage de croissance n’assure plus sa fonction et cette zone de l’os arrêtera de grandir. Le plus souvent le cartilage de croissance opposé va compenser pour maintenir une longueur de membre adéquate.
Si cette compensation est insuffisante, un déficit de croissance peut être observé. Lorsque le déficit final de croissance est inférieur à 20% de la taille normale de l’os, l’animal n’aura quasiment pas de problème pour marcher ou courir. Ceci s’explique par la position physiologique du membre en semi flexion du chat, contrairement à l’homme qui est en extension permanente.
Parfois, une partie du cartilage reste fonctionnel et le traumatisme de celui-ci peut entrainer une croissance anormale. L’axe de l’os est modifié car une partie du cartilage de croissance va continuer à grandir mais pas l’autre. Cela peut entrainer des déformations du membre handicapantes.
Le traitement est, comme pour beaucoup de fractures chez le chat, chirurgical. Il faut alors réduire la fracture pour réaligner les abouts osseux et maintenir l’os dans sa conformation naturelle puis la stabiliser avec des implants, le plus souvent des broches qui limitent moins la croissance.
Il n’y a pas de bonne alternative à la chirurgie.
L’animal est anesthésié et le membre à opérer est entièrement tondu.
Une incision est réalisée en regard du site de la fracture.
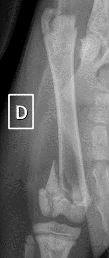
La fracture est réduite, le plus souvent avec des broches et parfois des vis. La quantité de matériel orthopédique est limitée afin de traumatiser le moins possible l’os en croissance. Des radiographies sont réalisées après l’intervention.
Le pronostic dépend du type de fracture (grade 1 à 5), de la localisation, de l’âge du chat et de la rapidité de la prise en charge.
Des soins sont prodigués à votre chat, le contrôle de la douleur post-opératoire est géré au besoin avec plusieurs médicaments adaptés. Chez vous, des médicaments seront prescrits pendant quelques jours.
Un bandage est parfois mis en place pour quelques jours. Idéalement il est vite retiré pour que des mouvements passifs de flexion et d’extension puissent être réalisés afin d’éviter l’ankylose.
Un repos strict est nécessaire. Aucun jeu, course ou saut n’est autorisé jusqu’à cicatrisation osseuse.
Votre animal doit être réexaminé 3 semaines et 6 semaines environ après la chirurgie afin de s’assurer que tout se déroule correctement. Des radiographies sont souvent faites pour suivre la croissance osseuse et s’assurer qu’aucune complication en rapport avec la croissance osseuse n’a lieu.
Le retrait du matériel orthopédique (broches et vis) est parfois recommandé après consolidation osseuse.
Ces recommandations et les soins post-opératoires vous seront expliqués en détail par un vétérinaire au moment de la sortie de votre animal. Un compte rendu détaillé vous sera remis à cette occasion. En cas de problème ou de questions vous pourrez joindre en permanence une infirmière et un vétérinaire par téléphone. Notre hôpital est ouvert sans interruption, 24h/24, 7j/7.
Comme lors de toute chirurgie, des complications peuvent survenir. L’utilisation de protocoles anesthésiques adaptés et d’appareils de monitorage instrumentés (ECG, oxymétrie pulsée, capnographie, mesure de la pression artérielle, etc…) par du personnel bien formé minimise le risque anesthésique.
L’infection est une complication possible malgré l’utilisation de techniques d’aseptie stricte pendant l’intervention.
Un sérome (une accumulation de sérum) peut apparaître sur le site chirurgical en raison de l’inflammation. Ceci se résout généralement spontanément en quelques jours.
La fracture peut ne pas cicatriser en première intention.
Une ankylose articulaire peut survenir. Elle est généralement due à un manque de rééducation.
Un lâchage ou une rupture des implants peut survenir et parfois nécessiter une réintervention.
Malgré une bonne réduction de la fracture des déformations du membre hors cours de la croissance sont possibles pouvant être responsables d’un handicap pour votre animal.
Lors de fracture impliquant l’articulation un développement d’arthrose est possible.
Tobias KM & Johnston SA. Section IV : Muskuloskeletal system. In Veterinary Surgery. First edition (Tobias & Jonhston), Saunders CO, St Louis