URGENCES

24h/24 - 7j/7

01 49 85 83 00

A partir du 31 mars 2026, nous serons dans l’impossibilité de recevoir d’autres espèces que chien et chat au CHV Frégis

A partir du 31 mars 2026, nous serons dans l’impossibilité de recevoir d’autres espèces que chien et chat au CHV Frégis

Je souhaite être rappelé

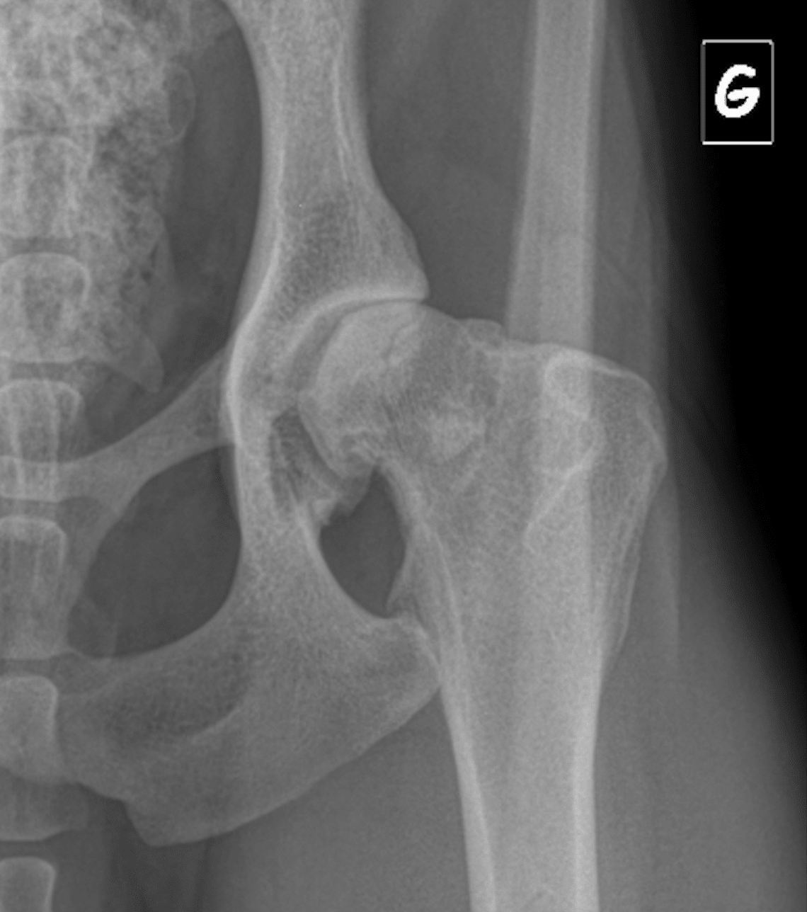
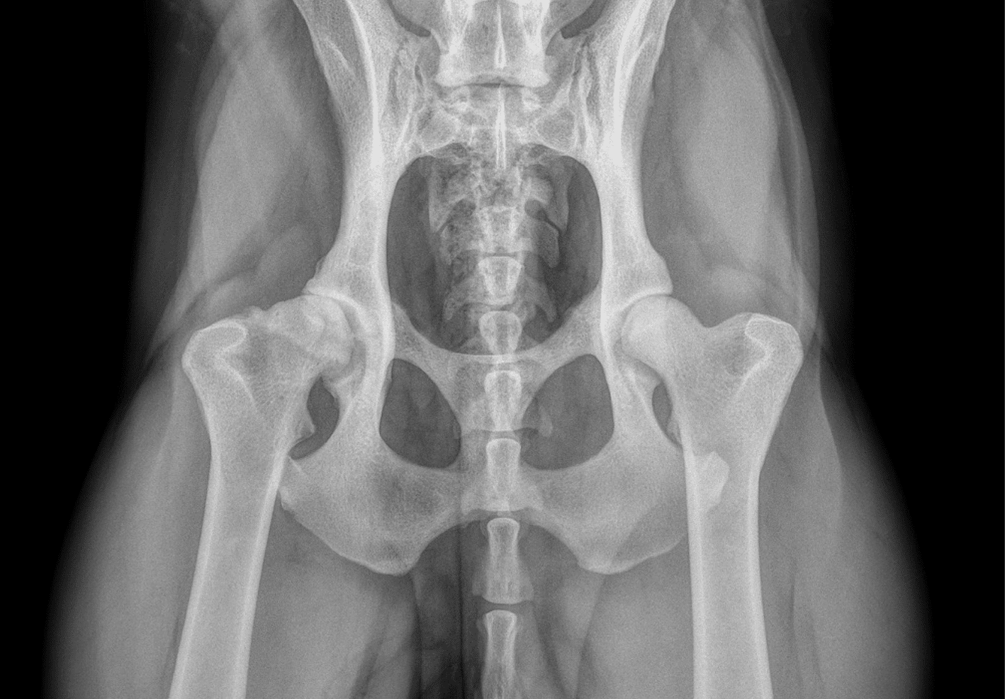
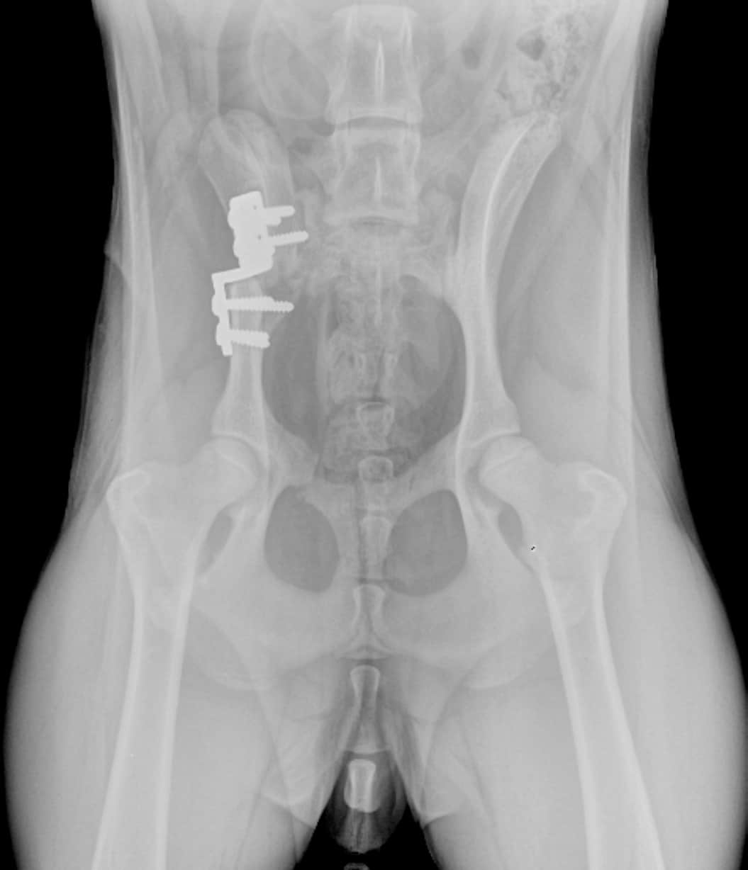
Dysplasie de la hanche chez le chien

Accueil Infos conseils chien Fiche infos santé chiens Dysplasie de la hanche chez le chien

Les références

S Dunié-Mérigot A, Bouvy B (2008). La dysplasie coxofémorale juvenile chez le chien. Pratique Vet. 43:516-519.
Valin I, Fau D, Gatineau M, Bouvy B (2007). La dysplasie coxofémorale. Pathogénie et diagnostic. Point Vétérinaire 281, 1-5.
Ragetly. Prothèse de hanche chez le chat. PratiqueVet (2018) 53 : 210-213
Ragetly Bouvy. Dysplasie de la hanche. Quelle attitude adopter. L’essentiel
Ragetly. Diagnostic et traitement de la dysplasie de la hanche. La semaine vétérinaire. 1957. Sept 2022

Appareil digestif
Appareil locomoteur
Appareil reproducteur
Appareil respiratoire
Appareil urinaire
Divers
Peau, pelage
Système cardiovasculaire
Système endocrinien
Système immunitaire
Système nerveux
Yeux et paupières
Un chien a posé sa tête sur l'ordinateur portable d'une personne pendant qu'elle travaille

Restez connecté à la santé de vos animaux grâce à notre newsletter

Recevez nos conseils vétérinaires et actualités dans votre boîte mail. Inscrivez-vous dès maintenant pour ne rien manquer !

S'inscrire