24h/24 - 7j/7
24h/24 - 7j/7
L’abiotrophie, encore appelée dégénérescence cérébelleuse, est une affection nerveuse due à une dégénérescence prématurée des cellules du cervelet. Le dysfonctionnent qui survient alors se manifeste notamment par des tremblements intentionnels (lors de mouvements précis comme marcher lentement, se pencher pour boire ou manger), une ataxie (désorganisation de la démarche) avec hypermétrie ou hypométrie (mouvements trop ou pas assez important face à un obstacle).
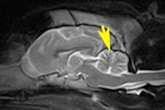
Le diagnostic se fait généralement à occasion d’une consultation specialisée de neurologie, par exclusion d’autres affections cérébelleuses (inflammatoires, malformations) et par confirmation d’une atrophie du cervelet en réalisant une résonance magnétique (IRM).
Aucun traitement n’est possible mais l’abiotrophie cérébelleuse n’entraine pas de souffrance physique. Les chiens peuvent donc être conservés jusqu’au moment où leur handicap altère trop sévèrement leur qualité de vie.
Selon les races, on pense le plus souvent que l’origine de la dégénérescence cérébelleuse est héréditaire, notamment pour les formes apparaissant tôt au cours de la vie comme chez : Beagle, Border Collie, Caniche miniature, Colley à poil dur, Coton de Tulear, English pointer (males uniquement), Jack Russell Terrier, Kerry Blue terrier,
Des formes sont aussi observées chez l’adulte, en particulier chez le Setter Gordon, l’Old English sheepdog, l’Epagneul breton, l’American staffordshire terrier, …