URGENCES

24h/24 - 7j/7

01 49 85 83 00
Je souhaite être rappelé
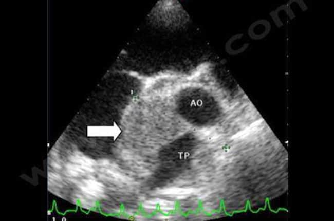
Tumeurs cardiaques chez le chien et le chat

Tumeurs cardiaques chez le chien et le chat

Accueil Infos conseils chat Fiches infos santé chats Tumeurs cardiaques chez le chien et le chat

Les références

Corlouer JP – Les cardiopathies - In : Rousselot JF, Corlouer JP et coll. - La cardiologie au quotidien – Guide pratique Vétoquinol – 2010, 156 p

Corlouer JP - Maladies et tumeurs cardiaques – CNVSPA-GECA, Fort de France,13-17 mars 2001

Corlouer JP - Diagnostic et traitement des épanchements péricardiques : les controverses. - Paris 24-26 novembre 2000.

Appareil digestif
Appareil locomoteur
Appareil reproducteur
Appareil respiratoire
Appareil urinaire
Divers
Peau, pelage
Système cardiovasculaire
Système endocrinien
Système immunitaire
Système nerveux
Yeux et paupières
Un chien a posé sa tête sur l'ordinateur portable d'une personne pendant qu'elle travaille

Restez connecté à la santé de vos animaux grâce à notre newsletter

Recevez nos conseils vétérinaires et actualités dans votre boîte mail. Inscrivez-vous dès maintenant pour ne rien manquer !

S'inscrire