URGENCES

24h/24 - 7j/7

01 49 85 83 00
Je souhaite être rappelé
Image du mois : Orthopédie
Orthopédie

Image du mois : Orthopédie

Par le Dr Paolo Camilletti, clinicien et le Dr Axelle Castelli résidente en chirurgie au CHV Frégis
27 novembre 2025
Accueil Nos Évènements Image du mois : Orthopédie

Par le Dr Paolo Camilletti, clinicien et le Dr Axelle Castelli résidente en chirurgie au CHV Frégis

Un chien Bouledogue français de 3 ans est présenté pour une boiterie de grade 3/5 du membre pelvien droit évoluant depuis 6 mois. Il présente à l’examen orthopédique une luxation de rotule médiale de grade 3 (luxée en permanence mais réductible à la manipulation). Le genou est stable par ailleurs (signes du tiroir négatifs).

La luxation de rotule est une pathologie complexe qui trouve son origine dans un développement anormal des os. Des déformations osseuses sont alors la cause d’un mauvais alignement du mécanisme du quadriceps (fémur – tendon du quadriceps – rotule – ligament patellaire – tibia), à l’origine de la luxation de rotule. Les déformations osseuses les plus fréquemment associées à une luxation médiale de rotule sont les suivantes : angle d’antéversion du col fémoral diminué (retroversion relative), varus fémoral, trochlée peu profonde, déplacement médial de la tubérosité tibiale, rotation interne du tibia par rapport au fémur.

L’indication est chirurgicale dans les cas où l’animal présente des épisodes de boiterie et/ou pour des grades élevés de luxation de rotule bilatérale où la boiterie est alors moins visible (3 et 4).

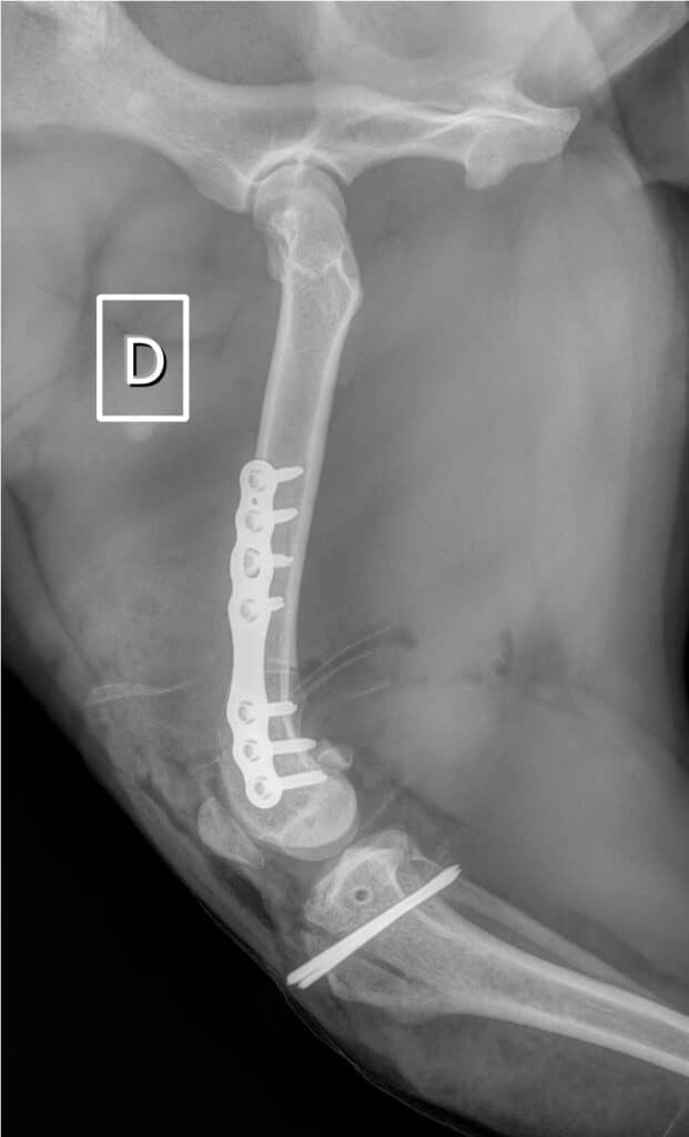
Un bilan radiographique ou scanner est réalisé en préopératoire et permet d’évaluer les corrections chirurgicales à réaliser. Le bilan scanner est plus précis et sera préconisé dans les cas les plus complexes. Le bilan radiographique nécessite une sédation profonde pour réaliser a minima 5 vues radiographiques très précises (face et profil du tibia et du fémur, vue axiale du fémur pour évaluer l’anteversion). Dans le cas du bouledogue, les mesures effectuées sur les reconstructions 3D du scanner mettent en évidence une torsion fémorale externe (angle d’anteversion nul à 0°), ainsi qu’un varus fémoral de 14° également (+10°).

La chirurgie vise à réaligner le mécanisme du quadriceps et stabiliser la rotule dans la trochlée. Elle comprend une association de techniques agissant sur les os et les tissus mous et consiste le plus fréquemment en la combinaison suivante : trochléoplastie pour recreuser la trochlée fémorale, transposition de la tubérosité tibiale dans le sens opposé à la luxation pour réaligner le mécanisme extenseur en tirant sur le ligament patellaire et donc sur la rotule (fixée à l’aide de deux broches, parfois associée à un hauban), relâchement médial (parfois très proximal) du côté de la luxation et imbrication des tissus mous du côté opposé à la luxation.

Chez le chien adulte, les techniques de reconstructions intéressant les tissus mous ne sont efficaces qu’en association avec les techniques osseuses. Elles sont utilisées seules de façon exceptionnelle, en cas de luxation traumatique ou chez les animaux très jeunes.

Dans le cas de notre bouledogue qui présentait des déformations osseuses marquées, une ostectomie fémorale latérale dite en « closing wedge » est réalisée en plus des techniques « classiques » présentées ci-dessus. Elle permet de corriger le varus et la torsion, en fixant avec une plaque le fémur proximal et distal, réalignés pour obtenir un angle d’antéversion dans les normes (18°). Les ostéotomies fémorales et tibiales permettent un résultat optimal lorsqu’elles sont indiquées et permettent d’obtenir un très faible taux de récidive de luxation.

Dans le cas de notre bouledogue qui présentait des déformations osseuses marquées, une ostectomie fémorale latérale dite en « closing wedge » est réalisée en plus des techniques « classiques » présentées ci-dessus. Elle permet de corriger le varus et la torsion, en fixant avec une plaque le fémur proximal et distal, réalignés pour permettre un angle d’antéversion dans les normes (18°). Les ostéotomies fémorales et tibiales permettent un résultat optimal lorsqu’elles sont indiquées et permettent d’obtenir un très faible taux de récidive de luxation.

Au contrôle à deux mois et demi, le chien ne présente plus de boiterie, une rotule stable et en place et la guérison osseuse est complète sur les radiographies. Un retour à l’activité sur 4 semaines est alors préconisé.

Vidéo à 1 semaine post-opératoire.

Kowaleski MP, Boudrieau RJ, Pozzi A. Stifle joint. In: Tobias, Karen M, Johnston SA, eds. Veterinary Surgery Small Animal. 2nd ed. Elsevier; 2017:1162-1164.

Vous pourriez aussi aimer

Tout consulter
Un chien a posé sa tête sur l'ordinateur portable d'une personne pendant qu'elle travaille

Restez connecté à la santé de vos animaux grâce à notre newsletter

Recevez nos conseils vétérinaires et actualités dans votre boîte mail. Inscrivez-vous dès maintenant pour ne rien manquer !

S'inscrire