Par le Dr Jemmy-Lee Hardy, résidente en chirurgie au CHV Frégis
Maxwell est un chien Golden Retriever de 9 ans présenté en consultation d’orthopédie pour une boiterie du membre pelvien gauche évoluant depuis 2 semaines ainsi qu’une tuméfaction du tarse évoluant depuis 8 mois, dans un contexte d’arthrose évoluant depuis plusieurs années sur les autres membres. Il présente comme comorbidité une hypothyroïdie stabilisée médicalement avec de la lévothyroxine. L’examen orthopédique révèle une tuméfaction ferme et inconfortable à la manipulation du tarse gauche en faveur d’un processus tumoral ou dégénératif prioritairement. Le scanner suggère une prolifération d’atténuation tissulaire en périphérie de l’articulation tibio-talienne et les biopsies confirment un processus néoplasique de type sarcome des tissus mous (schwanome plus précisément). La prise en charge thérapeutique de choix a été ici la réalisation d’une prothèse d’amputation.
Voici la video de Maxwell à 4 mois postopératoires.
En quoi consiste la prothèse d’amputation ?
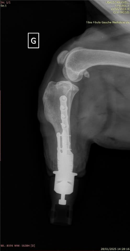
La prothèse d’amputation est un implant de conception unique intégrant deux parties : une endoprothèse (prothèse qui se fixe dans l’os et traverse la peau) et une exoprothèse (prothèse amovible se fixant sur l’endoprothèse qui permet l’appui).
Chaque exoprothèse est faite sur mesure par des ingénieurs biomédicaux après réalisation d’un scanner afin de s’adapter parfaitement à la taille, au poids et à la démarche naturelle de chaque patient. Au fil du temps, la base en caoutchouc de l’exoprothèse s’use comme la semelle d’une chaussure. Lorsque cela se produit, il suffit de détacher l’exoprothèse de l’endoprothèse et de la remplacer par un pied neuf.
Quelles sont les indications de la pose d’une prothèse d’amputation ?

Elle est indiquée seulement pour des lésions distales des membres, à partir du radius distal et du tibia distal. Elle peut être utilisée dans des circonstances de traumatisme, de tumeur ou déformation, dès l’instant que l’os de support de la prothèse est sain (non tumoral et non infecté).
Quelles sont les complications éventuelles suite à la pose d’une prothèse d’amputation ?
La plupart des animaux équipés retrouvent un mode de vie normal à la suite de l’intervention chirurgicale. En revanche, les complications les plus fréquentes après la mise en place d’une prothèse d’amputation restent l’infection, la déhiscence ou la rétraction exagérée de la peau sur la prothèse. De ce fait, le design et la porosité de l’endoprothèse est en perpétuelle évolution pour optimiser l’adhérence des tissus mous à la prothèse et limiter ces risques de complications. Des soins post-opératoires réguliers de type soins de plaie et protection par un bandage n’en restent pas moins essentiels. Les complications rapportées dans la littérature vétérinaire comprennent également un descellement aseptique ou encore une fracture de l’endoprothèse.

Quelles auraient pu être les autres options thérapeutiques disponibles ?
L’option thérapeutique la plus fréquente et disponible lors de ce type d’affection tumorale est l’amputation complète du membre atteint. Elle permet de s’affranchir des éventuelles complications précédemment décrites. En revanche, l’embonpoint important de Maxwell ainsi que les signes d’arthrose sur les trois autres membres rendent cette option suboptimale.
Il existe également des prothèses exosquelettiques par « manchons » ou orthèses mais ces prothèses sont souvent associées à une mise à l’appui plus lente et sont généralement moins bien acceptées chez le chien.
Bibliographie
- Drygas KA et al. Transcutaneous tibial implants: a surgical procedure for restoring ambulation after amputation of the distal aspect of the tibia in a dog. Vet Surg. 2008 ; 37 : 322–327.
- Fitzpatrick N et al. Intraosseous transcutaneous amputation prosthesis (ITAP) for limb salvage in 4 dogs. Vet Surg. 2011 ; 40 : 909–925.
- Wendland TM et al. Retrospective Multi-Center Analysis of Canine Socket Prostheses for Partial Limbs. Front Vet Sci. 2019 ; 6 : 100.
- Hardy JL, Ragetly G. Implantation d’une prothèse d’amputation sur un membre thoracique chez deux chiens. Congrès AFVAC 2024.