Prothèse de hanche chez un chat
Par le Dr Paolo Camilletti, clinicien en chirurgie au CHV Frégis
Shining est un chat de race Maine coon, mâle castré, de 2 ans référé au service d’orthopédie du CHV Frégis en raison d’une boiterie du membre pelvien droit, évoluant depuis environ 1 mois. La boiterie est apparue en l’absence de traumatisme majeur, et un premier traitement anti-inflammatoire n’a pas permis de résoudre les symptômes.
L’examen objectif général était normal et Shining ne présentait pas de douleur en région lombo-sacrée ni de déficit neurologique.
L’examen orthopédique a révélé une boiterie du membre pelvien droit de grade 3/5, une atrophie de la cuisse droite, une douleur à l’extension de la hanche droite, test de tiroir négatif, grasset et tarse non douloureux et non gonflés.
1/ Quelles affections suspectez-vous ?

Au vu de l’anamnèse et de l’examen orthopédique, nous pouvons suspecter un problème au niveau de la hanche droite, et dans le cadre du diagnostic différentiel, nous émettons l’hypothèse d’une dysplasie de la hanche ou d’une fracture de la région proximale du fémur (épiphysaire étant donné l’absence de traumatisme rapporté ou col / soustrochantérienne en cas de traumatisme non observé).
Une luxation de la hanche (liée à une dysplasie) serait possible mais l’examen clinique n’était pas en faveur de cette hypothèse.
2/ Quels examens complémentaires préconisez-vous ?
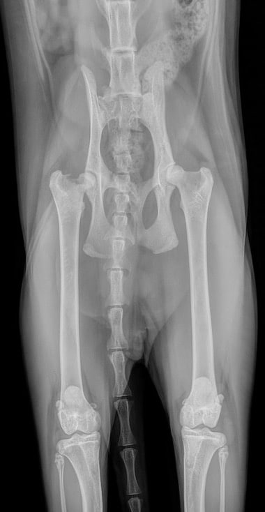
Nous avons effectué des radiographies du bassin et du fémur droit, qui ont révélé un glissement épiphysaire de la tête fémorale droite avec une sclérose osseuse sous-chondrale, ainsi qu’une dysplasie de la hanche gauche.
Les radiographies sont très souvent largement suffisante pour l’examen de la hanche, même si il faut parfois plusieurs incidences, en particulier lors de fracture.
3/ Quelles sont les options de prise en charge de cette affection chez le chat ?
La chronicité du glissement épiphysaire de la tête fémorale rend l’ostéosynthèse peu indiquée. Des procédures chirurgicales de dernier recours telles que l’ostectomie de la tête et du col du fémur et la prothèse totale de la hanche (PTH) sont donc indiquées.
L’étude la plus complète évaluant les résultats à long terme de chats ayant subi une excision de la tête et du col du fémur a montré des résultats insuffisants ou mauvais avec 100% des chats ayant une démarche anormale (par protection donc liée à une gene) et 75% des chats étant douloureux à la manipulation, même légère, de la hanche.
La prothèse totale de hanche est actuellement considérée comme le traitement de référence des maladies de l’articulation de la hanche chez le chien, avec des taux de réussite d’environ 95 % sur des cas classiques. La PTH chez le chat a été décrite dans des séries de cas, et une étude récente portant sur 56 PTH chez des chats a révélé un taux de complication comparable à celui observé chez les chiens et un taux de réussite et de satisfaction des proprietaires de 90,9 %.
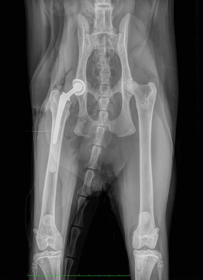
Après avoir discuté des avantages et des inconvénients des différentes options avec les propriétaires, Shining a été opéré en posant une PTH Biomedtrix, utilisant une cupule acétabulaire non cimentée et une tige fémorale cimentée. Les radiographies postopératoires ont montré un positionnement correct des implants et, après deux jours d’hospitalisation pour le contrôle de la douleur, l’administration d’antibiotiques et la perfusion, Shining est sorti du CHV et ses propriétaires ont reçu des instructions sur la gestion de la période post-opératoire. Le suivi réalisé à 2, 4 et 8 semaines a montré une récupération progressive de la mobilité et de la masse musculaire, et le chat a pu reprendre une activité physique complète 8 semaines après l’opération sans aucun signe de gene ou de reduction de la mobilité.

En conclusion, la prothèse totale de hanche est un traitement chirurgical efficace, avec une très bonne satisfaction des propriétaires et grâce auquel Shining a pu retrouver une mobilité complète comparable à celle qu’il avait avant sa pathologie
Bibliographie
- Rodiño Tilve V, Allaith S, Girling S, Moores AP, Mulholland L, Morrison S, Onyett J, Maddox TW, Lascelles BDX, Langley-Hobbs S, Comerford E. Long-term follow up of 44 cats undergoing total hip replacement: Cases from a feline hip registry (2010-2020). Vet Surg. 2022 Jul;51(5):763-771
- Liska WD. Micro total hip replacement for dogs and cats: surgi- cal technique and outcomes. Vet Surg. 2010;39(7):797-810
- Liska WD, Doyle ND, Schwartz Z. Successful revision of a femoral head ostectomy (complicated by postoperative sciatic neurapraxia) to a total hip replacement in a cat. Vet Comp Orthop Traumatol. 2010;23(2):119-123
- Fitzpatrick N, Pratola L, Yeadon R, Nikolaou C, Hamilton M, Farrell M. Total hip replacement after failed femoral head and neck excision in two dogs and two cats. Vet Surg. 2012;41(1): 136-142. doi