24h/24 - 7j/7
24h/24 - 7j/7
Une boiterie chez le chat est une incapacité à se déplacer normalement sur un ou plusieurs membres. Chez le chat, ce terme est plutôt utilisé en cas d’anomalies squelettiques que d’anomalies nerveuses. A titre d’exemple, si votre chat fait un mouvement de balancier inhabituellement ample de la tête et du cou lors de ses déplacement c’est probablement parce qu’il boite d’un membre antérieur. Si votre chat trotte en regroupant les pattes comme un lapin ou s’il s’assoit de façon asymétrique c’est probablement parce qu’il boite d’un membre postérieur. Une boiterie chez le chat peut s’exprimer de façon assez variable. On distingue des boiteries intermittentes ou constantes ; légères, modérées ou sévères, parfois sans appui. La boiterie chez le chat peut n’être évidente que dans des conditions particulières comme le lever/coucher, les escaliers, la marche, le trot, la course… Les atteintes articulaires (arthrose, dysplasie de hanche, etc) se manifestent le plus souvent par un changement de comportement ou une réduction d’activité sans réelle boiterie : le chat est un félin qui masque sa gêne. Il faut donc bien observer les changements de comportement, le chat qui ne saute plus au même niveau, qui monte ou descend moins bien les escaliers, qui se déplace moins, qui dort plus, qui va moins dehors, etc.
Les conditions d’apparition d’une boiterie chez le chat sont très variables. Elles sont plus souvent liées à un traumatisme que chez le chien mais ce traumatisme passe plus souvent inaperçu du fait du mode de vie du chat. Certaines boiteries apparaissent néanmoins spontanément, et peuvent être congénitales ou évolutives.
Le surpoids est un facteur de risque de boiterie chez le chat.
Les causes les plus courantes de boiteries aigues chez un chat qui sort sont liées à des traumatismes. Il peut s’agir d’abcès ou de phlegmons, pas toujours visibles par les propriétaires, qui peuvent survenir à la suite d’une bagarre avec un congénère et parfois causer une baisse d’état général et de la fièvre. Des fractures ou atteintes ligamentaires (entorse, …) sont fréquemment rapportées.
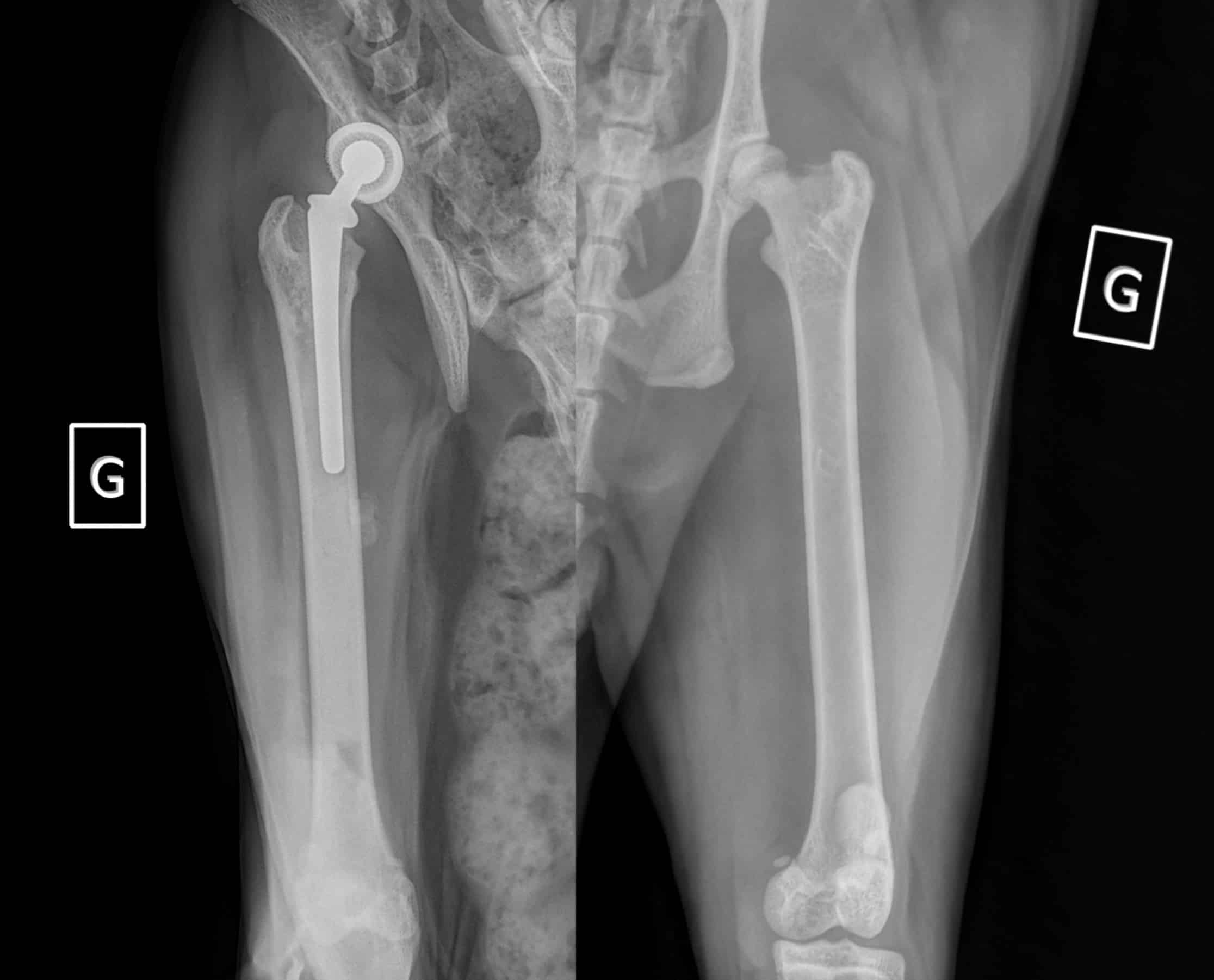
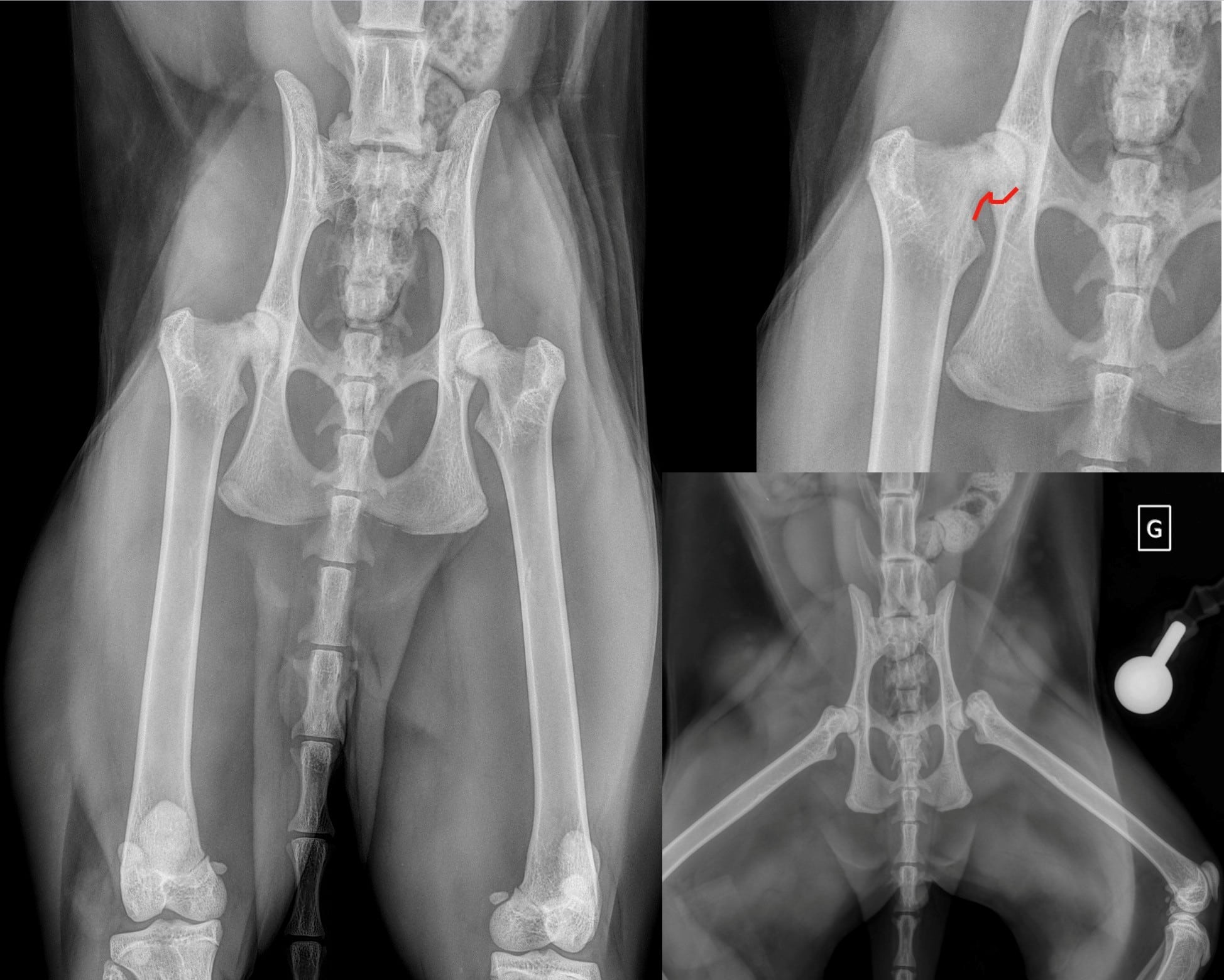
Néanmoins, certaines maladies du jeune ou congénitales sont également rencontrées chez le chat, d’apparition aigue ou progressive, souvent sans traumatisme, parfois associées à des prédispositions raciales : glissement épiphysaire de la tête fémorale, ostéochondrodysplasie du Scottish Fold par exemple. Les chats peuvent également souffrir de dysplasies du coude ou de la hanche, bien que beaucoup moins fréquentes que chez le chien.
Des maladies infectieuses peuvent être à l’origine de polyarthrite (gonflement de plusieurs articulations) et se manifester par des boiteries variées, parfois changeantes et souvent associées à une baisse d’état général.
D’autres processus dégénératifs peuvent être notés, tels que l’épicondylite médiale humérale qui fait boiter d’une ou des deux pattes avant. Des ruptures dégénératives des tendons d’Achille sont également observées chez le chat, parfois bilatérales. La rupture du ligament croisé, dégénérative ou traumatique est aussi fréquente. Chez le chat, l’arthrose est souvent idiopathique, c’est-à-dire sans cause identifiée. Il convient cependant d’écarter une cause en premier lieu afin d’ajuster au mieux le traitement, car elle peut comme chez le chien, être secondaire à un ancien trauma, une dysplasie ou une instabilité.
Si la boiterie survient après une sortie, vous pouvez examiner les pattes et chercher d’éventuels plaies, saignements ou gonflements. Il est toutefois fréquent que la cause de la boiterie de votre chat ne soit pas identifiable par vos propres moyens. Le bon réflexe est de consulter votre vétérinaire habituel qui, lui aussi, pourra vous diriger vers un vétérinaire spécialiste, si besoin. Vous augmenterez les chances de faire correctement diagnostiquer la boiterie de votre chat en sachant décrire précisément les signes observés par son entourage immédiat. Des vidéos prises à la maison peuvent aussi aider. A ce titre rien de tel que de faire présenter le chat au vétérinaire par les personnes les plus familières. Les chats sont souvent réticents à marcher en consultation, des vidéos réalisées lors de la mise en évidence de ces boiteries, à la maison ou en extérieur, seront très utiles lors de la consultation pour orienter la démarche diagnostique.
Il est toujours souhaitable d’obtenir l’avis et les conseils d’un vétérinaire, en cas de boiterie chez le chat. Une boiterie, même chez un chat très jeune ou très âgé, nécessite de consulter. Certaines affections du chat jeune sont mieux traitées si elles sont dépistées précocement, il ne faut pas tarder à consulter. Certaines mesures simples permettent par ailleurs d’améliorer le confort du chat âgé, la boiterie n’est pas une fatalité, même à un âge avancé !
Il faut consulter en urgence si la boiterie suit un traumatisme identifié, est associée à une plaie, une baisse de l’état général, de la fièvre ou une baisse d’appétit.
Avant de consulter, les bons réflexes consistent à confiner le chat en intérieur, limiter les sauts (arbre à chat, mobilier) et à bien observer l’évolution. L’automédication est à éviter.
A l’hôpital, vous serez reçu par un vétérinaire spécialisé en chirurgie, et même pratiquant exclusivement l’orthopédie. Si possible vous amènerez votre animal à jeun (la boisson est autorisée). Après avoir recueilli les commémoratifs, le vétérinaire examinera votre chat à distance, puis de façon rapprochée. L’examen du chat est plus délicat que celui du chien, ils ont tendance à refuser de se déplacer et à moins se laisser manipuler. Un traitement préalable pourra être prescrit pour les calmer avant la consultation. Le vétérinaire est ensuite susceptible de vous proposer des examens complémentaires (dont certains sous sédation ou anesthésie) tels que des radiographies, ou des ponctions articulaires. Nous disposons d’un service d’imagerie qui peut pratiquer des échographies, un scanner ou une IRM du squelette dans des indications précises mais peu fréquentes. La boiterie peut également nécessiter l’avis d’un neurologue ou d’un oncologue, votre animal sera redirigé vers le service adéquat après une première évaluation par l’orthopédiste, s’il suspecte une cause de cet ordre. Dans la mesure du possible la démarche diagnostique est complétée le jour de la consultation mais il peut arriver de devoir reprendre date. Il en est de même lorsqu’une arthroscopie ou une chirurgie s’avère nécessaire. Dans certains cas, un suivi avec le service de physiothérapie pourra être préconisé suivant la chirurgie ou dans le cadre d’un traitement conservateur.
Les conclusions, les recommandations et les soins vous seront expliqués par un vétérinaire au moment de la sortie de votre animal. Un compte rendu détaillé vous sera remis à cette occasion. En cas de problème ou de questions vous pourrez joindre en permanence une infirmière et un vétérinaire par téléphone. Notre hôpital est ouvert sans interruption, 24h/24, 7j/7.
Si votre chat fait un mouvement de balancier de la tête et du cou lors de ses déplacement c’est probablement parce qu’il boite d’une patte avant.
Si votre chat trotte en regroupant les pattes arrières comme un lapin ou s’il s’assoit de façon asymétrique c’est probablement parce qu’il boite d’un membre postérieur.
La boiterie est un signe peu fréquent d’atteinte articulaire chez le chat. Plus souvent, seul un changement de comportement et/ou une diminution d’activité sont notés.
Les boiteries chez le chat sont d’origine traumatique (chute, accident de la voie publique, bagarre avec des congénères) mais aussi liée à des maladies articulaires (dont l’arthrose)
Il est toujours souhaitable d’obtenir l’avis et les conseils d’un vétérinaire, en cas de boiterie chez le chat.
1. Bouvy B, Pujol E (2010). Sémiologie en orthopédie canine. 21p. Editions Afvac.
2. Ferenczi E. , Ragetly G. Place des AINS dans le traitement de l’arthrose. L’essentiel. 2/2024
3. Ragetly G, Rossetti D. L’arthrose chronique chez le chien. 1ère partie : Diminuer la douleur et l’inflammation : approches médicales et évolutions récentes. Abstract vet 2015
4. Burdisso R, Ragetly GR. Apport de la physiothérapie dans la gestion de l’arthrose. Abstract vet 2015
5. Langer P. Ragetly G. Arthrose chronique : Traitement par des anticorps monoclonaux anti-NGF. L’essentiel. 9/2022