Glossaire

Chez le chat, la palmigradie est pathologique et peut être la conséquence de diverses maladies qui touchent l’articulation du carpe, en particulier des affections hormonales, traumatiques, etc. …

Lorsque le phénomène touche les pattes arrières, on parle de plantigradie.

Palmigradie
Chien de race Caniche présentant une palmigradie secondaire à une maladie de Cushing.
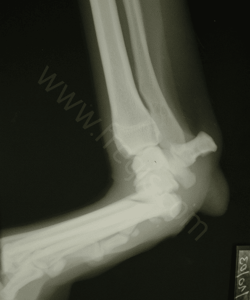
Palmigradie
Radiographie de l’extrémité de la patte arrière d’un chien présenté pour palmigradie traumatique. L’articulation du carpe fait ici un angle droit tout à fait anormal.