Services

Cataracte congénitale chez une jeune chat. Celle-ci est peu invalidante pour la vision.

Ophtalmologie

Cabinet vétérinaire d’ophtalmologie
du Dr Guillaume Payen.
Consultations et traitements ophtalmologiques pour vos animaux de compagnie.

Prenez rendez-vous en ligne dès maintenant !

Accueil Archives : Services

Notre service

Le cabinet vétérinaire d’Ophtalmologie est dirigé par le Dr Guillaume Payen, spécialiste français et européen en Ophtalmologie vétérinaire, diplômé de l’European College of Veterinary Ophthalmology (ECVO). L’unité d’Ophtalmologie inclut également deux autres vétérinaire dédiés exclusivement au service, le Dr Moranne Frejlich (résidente ECVO) et le Dr Joël Kabanda (assistant d’ophtalmologie).

Un chirurgien vétérinaire en tenue stérile complète, incluant une blouse chirurgicale, des gants, un masque, et une charlotte, est en train de réaliser une opération. Il porte des lunettes loupes avec une lampe frontale pour une meilleure visibilité. Le professionnel est concentré et utilise un instrument chirurgical sur un patient recouvert d’un champ opératoire stérile. En arrière-plan, une grande fenêtre laisse entrer de la lumière naturelle, avec une vue sur des bâtiments et des arbres.
Anomalie congénitale : forme rare de persistance de membrane pupillaire chez un chat. Certaines formes peuvent être invalidantes pour la vision chez le chien et chez le chat. D’autres formes sont bénignes.
Anomalie congénitale : forme rare de persistance de membrane pupillaire chez un chat. Certaines formes peuvent être invalidantes pour la vision chez le chien et chez le chat. D’autres formes sont bénignes.

Notre service

Le cabinet vétérinaire d’Ophtalmologie travaille en étroite collaboration avec les différents services de l’équipe médicale du CHV Frégis (imagerie médicale, médecine interne, urgences/soins intensifs, chirurgie, neurologie, oncologie, dermatologie et cardiologie) pour une prise en charge optimale et multidisciplinaire des patients.

Prendre rendez-vous

Coupe anatomique d’un oeil de chien

Anatomie de l’œil et fonctionnement de la vision chez le chien et le chat

L’œil des carnivores domestiques et des mammifères en général fonctionne, comme celui de l’homme, à la manière d’un appareil photo. Les objets dans le champ de vision de l’animal renvoient une image vers l’œil. Les images et la lumière traversent les milieux oculaires -transparents- de l’avant (la cornée (1)) vers l’arrière où elles sont projetées au fond de l’œil sur la rétine (9). La rétine correspond à la pellicule de l’appareil photo : elle transforme les images et la lumière en influx nerveux qui sont transmis au cerveau par un « câble » : le nerf optique (10).

Il existe deux lentilles dans l’œil : la cornée (1) et le cristallin (5). Ces deux lentilles permettent aux images d’être focalisées dans le plan de la rétine de manière à ce que l’image d’un objet situé dans le champ de vision de l’animal soit nette sur le plan de la rétine (9). Comme l’illustre le schéma, l’image d’un objet est plus petite et inversée. C’est le cerveau qui redresse l’image.

Comme dans un appareil photo, l’iris (3) joue le rôle de diaphragme : il contient deux muscles qui permettent à l’iris de contracter ou de se dilater, faisant ainsi varier le diamètre de la pupille (4) pour faire pénétrer plus ou moins de lumière vers le fond d’œil en fonction de l’ambiance lumineuse dans laquelle se trouve l’animal. Ainsi, à la pénombre, les muscles dilatateurs de l’iris entrent en action et permettent à la pupille de se dilater pour faire entrer beaucoup de lumière vers le fond d’œil. A l’inverse, en pleine lumière, le muscle irido-constricteur de l’iris se contracte pour refermer la pupille et ainsi éviter l’éblouissement de l’animal.

Schéma de la vision chez le chien et le chat

Les motifs de consultation

Douleur oculaire gauche chronique chez un Golden Retriever, secondaire à un entropion (voie la fiche info santé correspondante). Celui-ci est responsable d’un frottement récurrent de poils contre la cornée à l’origine d’ulcères cornéens très douloureux dans certains cas. La douleur se manifeste par un blépharospasme (fermeture des paupières) et un larmoiement abondant responsable d’une coloration rouille des poils autour de l’œil.
Des signes d’inflammation/douleur oculaire.

Les propriétaires remarquent dans ces cas une diminution de l’ouverture des paupières ou des clignements plus fréquents, la présence de sécrétions ou un larmoiement excessif et enfin une rougeur anormale des conjonctives. Ces signes peuvent correspondre à des maladies très diverses comme des conjonctivites, des ulcères de cornée, des inflammations intraoculaires (uvéite) ou encore des glaucomes. Certaines de ces maladies peuvent mettre en péril le globe oculaire et donc la vision, notamment les ulcères cornéens chez les chiens brachycéphales par exemple.

Opacification de la chambre antérieure de l’œil (entre la cornée et le cristallin), masquant l’iris et la pupille. Celle-ci était la conséquence d’une uvéite (inflammation intraoculaire) associée à un épanchement de lipides dans la chambre antérieure. La vision est altérée à ce stade mais le pronostic visuel est généralement bon après traitement.
Un changement d’aspect de l’œil ou des yeux.

Celui-ci peut correspondre à une opacification des milieux oculaires intéressant la cornée (œdème), la chambre antérieure de l’œil (aspect trouble en cas d’uvéite ou encore hémorragie intraoculaire) et bien entendu le cristallin en cas de cataracte.

Cécité brutale chez un Bouledogue français de 5 ans. La cécité est accompagnée dans ce cas d’une mydriase (pupilles dilatées) et elle était la conséquence d’une névrite optique (inflammation des nerfs optiques). L’instauration d’un traitement précoce est indispensable pour le pronostic visuel !
Une cécité.

Lorsque celle-ci est brutale, elle peut correspondre à des dégénérescences aiguës ou des décollements de la rétine, des maladies nerveuses. Les glaucomes ainsi que les cataractes provoquent également des cécités dans un nombre important de cas chez le chien et le chat.

De nombreuses affections peuvent être responsables, à la fois d’un changement d’aspect de l’œil ou des yeux, de signes d’inflammation/douleur oculaire, et parfois d’une cécité, comme les glaucomes notamment.

Les tests et examens spécifiques

Test de Schirmer
Test à la fluorescéine
Mesure de la pression intraoculaire
Examen en lampe à fente (ou biomicroscope)
Ophtalmoscope

Le Test de Schirmer

Il est réalisé dans la plupart des cas afin de mesurer la production de larmes. Pour cela, on insère une bandelette en regard du cul-de-sac conjonctival inférieur (ce n’est pas douloureux !). Chez le chien, les syndromes associés à un œil sec sont fréquents. Ils entraînent une inflammation des conjonctives et de la cornée (kératite) et sont responsables d’une douleur chronique ainsi que d’une baisse de vision.

Le test à la fluorescéine

Le test à la fluorescéine repose sur l’utilisation d’un colorant vital orange à l’air libre. En contact avec la cornée, il permet de révéler les ulcères de cornée (en vert) pour sa principale indication.

La mesure de la pression intraoculaire

Elle est effectuée à l’aide d’un tonomètre électronique. Cette mesure est très importante : une pression intraoculaire basse peut révéler une inflammation intraoculaire (uvéite), tandis qu’une pression trop élevée est mesurée en cas de glaucome.

L’examen en lampe à fente (ou biomicroscope)

Il permet d’examiner la cornée, la chambre antérieure de l’œil, le cristallin ainsi qu’une partie de l’humeur vitré. Cet examen permet ainsi de diagnostiquer ou caractériser des maladies comme les ulcères cornéens, les cataractes, les luxations du cristallin, les hémorragies intraoculaires, la présence de tumeurs intraoculaires ou encore les uvéites (inflammation intraoculaire).

L’ophtalmoscope

Enfin, l’examen inclut celui du fond d’œil afin de vérifier l’intégrité de la rétine à l’aide d’un ophtalmoscope ; la rétine correspond à la pellicule si l’on compare l’œil à un appareil photo. Des maladies responsables de cécité peuvent être diagnostiquées comme des dégénérescences et des décollements de rétine ou encore des hémorragies rétiniennes.

La consultation en ophtalmologie doit respecter plusieurs étapes.

Une source de lumière focalisée (transilluminateur) permet tout d’abord de rechercher une asymétrie entre la taille et la position des deux yeux ainsi que des signes d’inflammation de la sphère oculaire. Cette partie de l’examen a également pour objectif de vérifier la présence éventuelle d’une mauvaise position des paupières (comme un entropion).

Ensuite, l’examen neuro-ophtalmologique a pour objectifs d’évaluer la vision (test de clignement à la menace notamment) et de vérifier la sensibilité à la lumière des pupilles.

Les examens complémentaires

Dans certains cas, la consultation est complétée par certains examens complémentaires spécifiques, dont les plus utilisés sont :

L’échographie oculaire
L’électrorétinographie
La gonioscopie
Le scanner et l’IRM

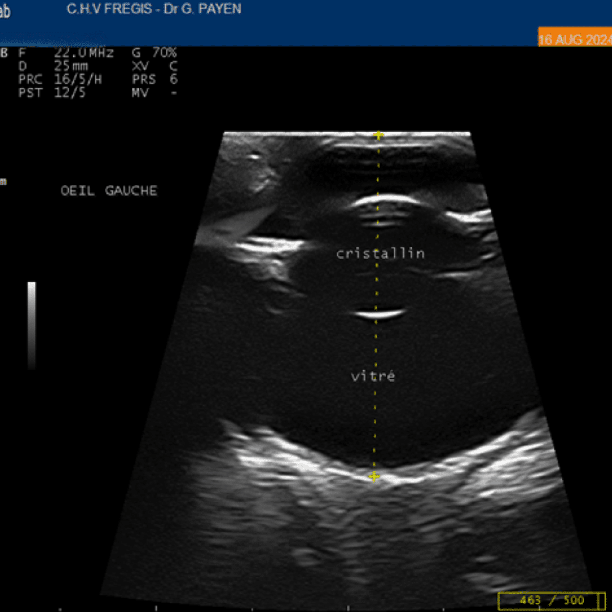
L’échographie oculaire

Celle-ci est effectuée en consultation sous simple anesthésie locale grâce à un appareil dédié à l’ophtalmologie vétérinaire. Cet examen est indiqué lorsque des opacités (de la cornée, de la chambre antérieure de l’œil ou du cristallin) empêchent l’évaluation de certaines structures de l’œil. Cet examen est très utile pour établir un pronostic visuel après des traumatismes de l’œil (griffure de chat ou contusion du globe oculaire). L’examen permet aussi dans certains cas de diagnostiquer une luxation du cristallin, un décollement de rétine, une hémorragie ou encore une tumeur intraoculaire.

L’électrorétinographie

Consiste à enregistrer l’activité électrique de la rétine. Des électrodes sont placées sur la cornée et autour de l’œil (sans douleur, sous simple tranquillisation) et à projeter des flashs de lumière dans l’œil. L’examen permet d’obtenir un tracé dont l’interprétation permet de diagnostiquer des dégénérescences de rétine dans certains cas de cécité. Avant une chirurgie de la cataracte, cet examen peut être indiqué pour vérifier l’état de fonctionnement de la rétine.

La gonioscopie

Consiste à examiner l’angle irido-cornéen (entre l’iris et la cornée). Cet angle permet l’élimination hors de l’œil de l’humeur aqueuse (liquide remplissant la partie antérieure de l’œil). Des anomalies de cet angle prédisposent au glaucome chez le chien. Chez le chat, l’examen permet de dépister des tumeurs intraoculaires comme le mélanome de l’iris.

Le scanner et l’IRM

Enfin le scanner et l’IRM (imagerie par résonance magnétique) sont des examens d’imagerie en coupe effectués sous anesthésie générale. Effectués au sein même CHV Frégis, ces examens sont déterminants pour le diagnostic de maladies d’origine nerveuse responsables de cécité ou encore celui de maladies de l’orbite (cavité osseuse hébergeant l’œil dans sa partie antérieure).

 

La flèche indique une tumeur bénigne de l’hypophyse dans le cerveau, responsable d’une cécité chez un chien (image IRM).

Informations pratiques

Les consultations
Gestion des urgences
Les consultations
Chat ausculté par un vétérinaire, il a les yeux grands ouverts et regarde l'objectif.
Les consultations

Les consultations et chirurgies en ophtalmologie sont assurées par le Dr Payen et le Dr Frejlich quatre jours par semaine (lundi, mercredi, jeudi, vendredi et samedi). Les urgences ophtalmologiques, médicales et chirurgicales, sont prises en charge soit immédiatement, soit dans la journée après une première prise en charge par l’équipe médicale présente sur le site 24 heures sur 24.

Gestion des urgences
Epine de rosier ayant traversé la cornée et fichée dans l’iris de l’œil d’un chat. Une extraction chirurgicale associée à un rinçage abondant de la chambre antérieure de l’œil sont à réaliser en urgence pour préserver l’œil et la vue !
Gestion des urgences

Le cabinet vétérinaire d’Ophtalmologie du Dr Payen prend en charge des urgences oculaires, comme les cécités d’apparition brutale, les traumatismes du globe oculaire, les plaies de lacération par griffure de chat, les ulcères cornéens complexes et perforés, les glaucomes, les uvéites, les luxations de cristallin, les hémorragies oculaires ou encore les corps étrangers de la sphère oculaire.

La prise en charge des urgences oculaires s’effectue dans les meilleurs délais (moins de deux heures) lorsque les cliniciens (les Drs Frejlich, et/ou Payen) sont présents sur site, à savoir 5 à 6 jours par semaine, et ce de 9 heures à 20 heures.

En dehors des horaires de présence d’un clinicien du cabinet d’Ophtalmologie, les animaux sont pris en charge par les cliniciens du service des urgences et soins intensifs du CHV Frégis ; ces derniers contactent alors systématiquement un des cliniciens d’astreinte du cabinet d’ophtalmologie, et ce 24 heures sur 24, après avoir effectué leur consultation.

En fonction du diagnostic lésionnel établi par le clinicien du service des urgences, le clinicien d’astreinte du clinicien du cabinet d’Ophtalmologie est susceptible de se déplacer, pour une prise en charge chirurgicale en urgence notamment. Enfin, lorsqu’un vétérinaire ou un propriétaire contacte le CHV Frégis pour une urgence oculaire, par téléphone ou par courriel en dehors des horaires de présence d’un clinicien du cabinet d’Ophtalmologie, le clinicien d’astreinte est systématiquement contacté afin d’évaluer l’indication d’une prise en charge en urgence.