24h/24 - 7j/7
24h/24 - 7j/7
La communication interventriculaire (CIV) chez le chien est une malformation cardiaque congénitale dont la fréquence est estimée chez le chien à environ 7% des cardiopathies congénitales.
Elle est due à la présence d’un orifice anormal dans le septum interventriculaire. Il s’ensuit un shunt gauche-droit plus ou moins important.
Il existe plusieurs formes de CIV et cette anomalie peut parfois être associée à d’autres malformations, notamment dans le cadre d’une tétralogie de Fallot.
Les signes cliniques dépendent du débit sanguin au niveau de l’orifice anormal :
Dans les cas les plus graves, on note des signes d’insuffisance cardiaque droite ou globale : ascite, épanchement pleural.
Enfin, une hypertension artérielle pulmonaire peut apparaître, ce qui accélère l’apparition de l’insuffisance cardiaque et peut créer une inversion de shunt provoquant une cyanose – le sang bleu (non oxygéné) passe alors directement dans le ventricule gauche où il se mélange avec le sang rouge (oxygéné).
Il repose avant tout sur examen clinique approfondi et la mise en évidence d’un souffle cardiaque à droite.
Les images radiographiques sont elles aussi dépendantes de l’importance de la malformation initiale et de ses conséquences. On trouve le plus souvent une augmentation de la taille de certaines cavités cardiaques et des artères pulmonaires. En l’absence de trouble du rythme, l’électrocardiogramme (ECG) est le plus souvent normal.
Dans les cas les plus graves et les plus évolués, des modifications morphologiques et des blocs de branches peuvent être présents.
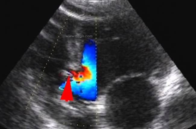
L’échocardiographie permet de visualiser directement la communication interventriculaire, d’en apprécier la localisation, la taille et l’importance. Elle permet aussi de déterminer le sens du shunt et d’apprécier les répercussions éventuelles de la CIV sur la fonction cardiaque.
Il est variable selon l’importance de la communication et de ses conséquences sur la fonction cardiaque. Les malformations les plus graves sont responsables d’une mortalité précoce. A l’opposé, un chat toujours asymptomatique après l’âge de 6 mois aura le plus souvent une bonne longévité.
Le traitement chirurgical permet une guérison mais il n’est indiqué que pour des chiens symptomatiques et des lésions importantes. Ce type de chirurgie nécessite le recours à une circulation extracorporelle, ce qui la rend en pratique difficilement accessible, pour des raisons tant techniques qu’économiques.
Un traitement médicamenteux n’est mis en place qu’en cas de développement d’une insuffisance cardiaque.
Certaines races sont prédisposées comme : Akita Inu, Basset Hound, Bulldog anglais, Lakeland terrier, Pinscher, Shih-Tzu, Springer spaniel anglais, West Highland White terrier.
Il n’est pas observé de prédisposition de sexe.
Une transmission héréditaire est suspectée pour certaines races (Springer spaniel en particulier). Il est donc conseillé de retirer les animaux atteints de la reproduction, de faire un dépistage sur les autres chiots de la portée et d’éviter de refaire le même croisement père-mère.
CORLOUER JPh – Les cardiopathies - In : Rousselot JF, Corlouer JP et coll. - La cardiologie au quotidien – Guide pratique Vétoquinol – 2010, 156 p
CORLOUER JPh – Diagnostic des cardiopathies congénitales : toujours plus précis ? – AFVAC, Strasbourg, 28-30 novembre 2008
CORLOUER JPh – Que faire d’un chiot atteint de cardiopathie congénitale ? – Journées vétérinaires Toulousaines – AFVAC – Toulouse 24 et 25 mars 2007