Geste Technique + Vidéo du mois

La cystoscopie dans le cadre du diagnostic des tumeurs des voies urinaires du chien et du chat.

La cystoscopie est l’examen endoscopique des voies urinaires inférieures, c’est-à-dire l’examen du vagin, de l’ouverture urétrale, de l’urètre, de la vessie et des orifices urétéraux. La réalisation d’une cystoscopie est un examen médical relativement peu invasif. Il nécessite néanmoins une anesthésie générale.

Il doit être envisagé chez les chiens souffrant de divers problèmes urinaires (uretères ectopiques, cystites à répétition, incontinence urinaire) mais est particulièrement indiqué lors de suspicion de tumeurs des voies urinaires comme le carcinome urothélial de localisation vésicale ou urétrale.

Il est possible de prélever des biopsies au cours de cette procédure afin d’établir un diagnostic définitif. Cet examen est possible à la fois chez les femelles et chez les mâles. Toutefois, les chiens de très petite taille ou les chats ne sont pas tous des candidats appropriés pour ces procédures. L’objectif est de permettre la visualisation et l’évaluation des voies urinaires et génitales inférieures. Elle est utilisée comme moyen de détection précoce et de diagnostic, en particulier lorsque les mesures diagnostiques préliminaires, telles que les analyses de sang et les radiographies, n’ont pas donné de résultats.

MATERIEL (stérile)

  • Endoscope
  • Poche de 1L de soluté isotonique (type NaCl 0.9%) avec connecteur
  • Pince à biopsie
  • Pot de Formol

Étant donné que les voies urinaires inférieures sont examinées, il existe un risque de contamination. La technique aseptique est donc très importante chez ces patients. Les endoscopes et tous les instruments utilisés doivent être stériles (stérilisés selon les recommandations du fabricant de l’endoscope).

Après l’induction anesthésique et la préparation du patient, le cystoscope est inséré dans le vagin (femelle) et/ou l’urètre (mâle) et la ligne de la poche de sérum physiologique stérile à 0,9 % fixée à l’endoscope est ouverte pour remplir les voies urogénitales de sérum physiologique, ce qui améliore la visualisation et la zone est inspectée à la recherche d’éventuelles anomalies (lésions, signes d’inflammation, masses ou rétrécissements). Le cystoscope est avancé dans l’urètre et dans la vessie. L’urine retirée et remplacée par du soluté physiologique. Une fois la vessie remplie de sérum physiologique, on peut observer les uretères gauche et droit qui pénètrent dans la vessie (au niveau du trigone, une région triangulaire située dorsalement au col de la vessie). Des biopsies sont ensuite prélevées dans la vessie +/- l’urètre et le vagin, si nécessaire, et soumises à l’histopathologie et à la culture.

En général, plusieurs biopsies sont prélevées pour l’histopathologie, une biopsie étant conservée dans une solution saline stérile pour une culture bactérienne si nécessaire. Des frottis d’empreinte des biopsies peuvent également être préparés pour la cytologie si besoin.

Le prélèvement des échantillons de tissus se passent comme ci-décrit:

  • Avancez les pinces progressivement (1 cm à la fois) et arrêtez-vous si vous sentez une résistance accrue lorsque vous essayez de les avancer.
  • Veillez à maintenir tous les instruments en position « fermée » jusqu’à ce que vous puissiez voir l’extrémité sortir complètement du canal/de la gaine de l’instrument.
  • Après la sortie de l’endoscope, ouvrez votre pince et avancez-la selon les instructions du clinicien, tout en la maintenant en position « ouverte ».
  • Poussez délibérément mais prudemment la pince contre la zone à biopsier, vider la vessie et refermez la pince fermement.
  • En maintenant les pinces en position fermée, les retirer complètement du canal de l’instrument.
  • Pour retirer les échantillons des pinces, on peut soit les « accrocher » avec précaution à l’aide d’une aiguille de 25 g, soit secouer l’extrémité des pinces dans un pot stérile de sérum physiologique, afin de libérer les biopsies des pinces.
  • Transférer les biopsies dans une cassette de biopsie endoscopique, en utilisant une cassette par région anatomique (par exemple, le vagin, l’urètre et la vessie).
  • Fermer délicatement chaque cassette et la placer dans un pot de formol étiqueté pour l’envoyer au laboratoire.
  • Placez une biopsie fraîche dans un tube sec ordinaire sans bille de 1 ml rempli de solution saline stérile, pour la culture.

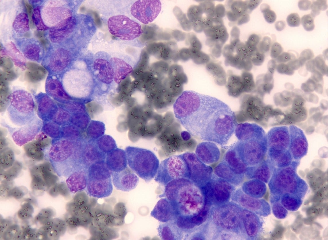
Résultats cytologique d’un raclage lésionnel d’une lésion vésicale proliférative

On observe dans un fond hématique et non inflammatoire, de nombreux et volumineux amas de cellules cohésives polygonales ou rondes (épithéliales) avec un grand noyau rond ou ovale avec un ou plusieurs nucléoles et un cytoplasme modérément abondant ou abondant basophile. On observe des atypies : anisocytose, anisocaryose, plurinucléolations.

CYTOLOGIE

Quel est le critère cytologique d’une origine urothéliale de ces cellules ?

Les corps de Melamet-Wolinska sont de grosses inclusions rose/pourpre granuleuse que l’on retrouve dans le cytoplasme des cellules d’origine urothéliale (vésicale, urétrale, prostatique).
A l’examen cytologique, elle témoigne d’une origine urothéliale des cellules et on peut les retrouver également lors des examens cytologiques des métastases développées à distance.